Die Arthrose des Kniegelenks (Gonarrose) ist eine degenerative Erkrankung, bei der der Knorpel dünner ist. Nach Statistiken leidet jeder fünfte Einwohner des Planeten an dieser Pathologie. Dieser Artikel wird die Hauptursachen für Arthrose, seine Symptome in jedem Stadium sowie diagnostische und Behandlungsmethoden berücksichtigen.
Ursachen
Jeden Tag erleben die Kniegelenke beim Gehen eine tolle Ladung. Immerhin müssen sie der Masse des gesamten Körpers widerstehen. Infolgedessen gibt es einen allmählichen Verschleiß von Knorpelgewebe, der die Ursache für pathologische Veränderungen in den Knien ist.
Die Risikogruppe umfasst Personen:
- Alter Mann,
- unter Übergewicht leiden,
- Osteoporose und Stoffwechselstörungen haben,
- Ich habe jemals eine Kniegelenkverletzung erhalten,
- bestimmte Berufe vertreten,
- Leiden an Mikroelementmangel,
- in schweren Sportarten engagiert.

Bei den meisten 40 -jährigen Menschen finden Sie im zweiten Entwicklungs- oder hinteren Entwicklungsstadium oder hinterer Stufe.
Die Hauptsymptome
Natürlich können Veränderungen des Knorpelsgewebes ohne Symptome nicht stattfinden. Mit einer Krankheit kann sich eine Person beschweren:
- ein Gefühl der Unbehagen in den Knien nach dem Aufwachen oder langfristig in sitzender Position,
- Beinschmerzen nach einer langen Position,
- ein brennendes Gefühl, wenn der Berg klettern und die Treppe hinaufstieg,
- Beinschwäche nach einer leichten Belastung sowie am Ende des Tages.
- Einige Patienten sind sogar nachts im Schlaf besorgt.
Wichtig! Die Krankheit tritt nicht abrupt auf, sie entwickelt sich im Laufe der Jahre. Die Schmerzen in den frühen Stadien können unbedeutend sein, aber im Laufe der Zeit steigt ein anhaltender Anstieg.
Osteoarthritis des Kniegelenks 1 Grad
Zu diesem Zeitpunkt beginnt Gonarrose gerade ihre Entwicklung, daher wird der Prozess für eine Person fast asymptomatisch fortgesetzt. Sie können jedoch immer noch einige Signale sehen.
Eine Person beginnt oft Müdigkeit in den Beinen zu fühlen, beobachtet eine leichte Abnahme der Mobilität von ein oder zwei Kniegelenke. Dieses Phänomen ist am Morgen, in den ersten Minuten nach dem Erwachen, besonders charakteristisch.
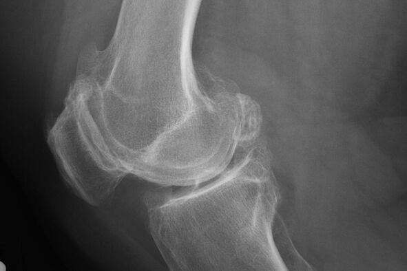
In der Regel tritt die Diagnose der Krankheit in diesem Stadium während einer X -Linie zufällig durch. Darin kann der Arzt einige Unregelmäßigkeiten im Knorpel bemerken. Es ist auch möglich, das Licht zwischen den Teilen der Verbindung zu reduzieren.
Kniegelenk -Osteoarthritis 2 Grad
Die Pathologie des Kniegelenks scheint ausgeprägter zu sein. Das Erscheinungsbild des Schmerzsyndroms ist charakteristisch, was durch zusätzliche Belastung im Gelenk verursacht wird.
REFERENZ. In diesem Stadium verläuft der Schmerz nach einer langen Pause unabhängig.
Darüber hinaus während der zweiten Stufe Symptome wie:
- Kristall mit bestimmten Bewegungen. Es ist sowohl in einem als auch in beiden Knien zu sehen. Die Crunch kann bemerkenswert sein, erwirbt jedoch allmählich einen rauen, starken und sehr anderen Charakter.
- Reduzierung der Fähigkeit, das Bein im Knie vollständig zu falten. Einige Menschen können dies nur in einer Ecke von 90 Grad tun, dann erscheint ein unangenehmes Gefühl und sind gezwungen zu stoppen.
- Einige Patienten mit Gonarrose des zweiten Stadiums beschweren sich über das Auftreten von akuten Schmerzen, die auftreten, wenn das Kniegelenk gebeugt ist.
- Es ist möglich, die Form des Kniegelenks zu ändern, wird breiter und schwillt an. Dies ist auf die Ansammlung von pathologischer Flüssigkeit zurückzuführen.

Wenn das Unbehagen im Kniebereich festgestellt wird, sollten Sie einen Arzt konsultieren, um die richtige Behandlung zu verschreiben.
Kniegelenks -Osteoarthritis 3 Grad
- In diesem Stadium werden im Artikulationsgelenk sehr starke strukturelle Knorpeländerungen beobachtet. Die Wachstum, die eine große Größe haben, treten darin auf.
- Die Krümmung des betroffenen Beins wird beobachtet. Es erhält eine 0- oder x -fällige Kurve, die zu einem schwerwiegenden Hindernis für das gesamte Leben des Patienten wird. Infolgedessen kann eine Person eine behinderte Person werden.
- Ein charakteristisches Phänomen des dritten Stadiums der Krankheit ist schwerwiegende Schmerzen, die ständig beobachtet werden kann und sich nach jedermann verschärft, sogar eine leichte Belastung.
- Eine Person bemerkt die Empfindlichkeit der Artikulation gegenüber Veränderungen im Klima. Jetzt, da sich der Zyklon nähert, tritt das Knie weh, und es treten die Empfindungen von Schüssen auf.

Mit dem Alter reagieren die Gelenke auf Veränderungen von Klima und Druck.
Kniegelenks -Osteoarthritis 4 Grad
Es ist ein extremes Endstadium der Krankheit, in dem die Lücke zwischen den Knochen vollständig fehlt.
REFERENZ. Die meisten Orthopäden führen die vierte Stufe auf die dritte zurück. Dies ist auf die Ähnlichkeit der Symptome und die Komplexität der rechtzeitigen Diagnose zurückzuführen.
Da das Fehlen einer Lücke beobachtet wird, ist die Artikulationsbewegung einfach unmöglich.
Darüber hinaus wird der Patient durch unerträgliche und ständige Schmerzen gequält, die nur durch schwerwiegende Analgetika erleichtert wird. Aber nach einer Zeit, in der die Wirkung eines Tablets oder einer Injektion aufhört, tritt erneut ein unangenehmes Symptom auf.
Diagnose
Eine Patientenuntersuchung beginnt mit seiner Bitte um Hilfe bei einem Spezialisten. Sie können Therapeut oder Orthopädeer sein.
Der Arzt hört auf die Beschwerden, sammelt eine Anamnesis und führt eine Prüfung durch. Erstens interessieren Sie sich für externe Veränderungen in der Artikulation, die Einschränkung der Mobilität in seinem Gebiet.

X -Ray hilft dabei, Abweichungen im Knorpel zu identifizieren.
Bei der Prüfung beschwert sich der Patient über das Aussehen unangenehmer Empfindungen, und mit einer Helligkeit der Kniebecher ist ein Crunch zu hören.
Wichtig! Eine Diagnose ist nach einer medizinischen visuellen Untersuchung nicht möglich, selbst in Gegenwart aller Anzeichen der Krankheit. Nur eine integrale Prüfung ermöglicht es Ihnen, eine genaue Antwort auf die Pathologie zu geben, die im Knie fließt.
Nach der Untersuchung verschreibt der Arzt die Radiographie des Patienten. Dies ist die Hauptmethode zur Diagnose der Arthrose des Kniegelenks eines beliebigen Ausmaßes.
X -Ray gibt dem Arzt eine Vorstellung von den Änderungen, die im Knorpel des Gelenks auftreten. In einigen Fällen kann die Anfangsphase jedoch im Bild nicht definiert werden.
Bei Bedarf kann der Arzt einen wiederholten Durchgang aus einer Radiographie oder einer magnetischen und berechneten Resonanztomographie verschreiben.
Behandlung
Bei der Diagnose von Gonararrose muss die sofortige Behandlung beginnen. Dies wird dazu beitragen, den Fortschritt der Pathologie zu stoppen und viele Komplikationen zu vermeiden.
Die Krankheitstherapie verfolgt gleichzeitig mehrere Ziele. Nämlich:
- Eliminierung des Schmerzsyndroms,
- Abnahme der Schwere anderer Symptome,
- Die maximal mögliche Wiederherstellung des Knorpels und der von der Verbindung betroffenen Bänder,
- Eine Zunahme der Gliedmaßenmobilität.
Die Behandlung der Krankheit umfasst Methoden wie:
- Arzneimitteltherapie,
- Massage, Osteopathie, manuelle Therapie,
- Chirurgische Intervention,
- Medizinische und vorbeugende Sportunterricht,
- Physiotherapie.
Drogenpflege
REFERENZ. Die pharmakologische Therapie ist die Hauptmethode zur Behandlung der Krankheit. Es ist jedoch erfolgreicher in Kombination mit anderen Methoden.
Zu den Medikamenten zur Behandlung von Gonarrose gehören:
- Nicht steroidale entzündungshemmende Medikamente - den Patienten mit Schmerzen lindern, Entzündungen lindern. Diese Medikamente sind symptomatische Wirkstoffe, ohne die Ursache der Krankheit zu beeinflussen. Sie kämpfen nur mit ihren Manifestationen und bringen vorübergehend Erleichterung.
- Kondenrotektoren - Knorpeltuch wiederherstellen. Der Effekt wird jedoch nicht sofort bemerkenswert. Medikamente haben kumulative (kumulative) Eigenschaften, daher braucht der Körper Zeit für seine volle Wirkung.
- Hormonelle Medikamente. Sie werden in der Regel mit fortgeschrittenen Erkrankungen vorgeschrieben. Diese Fonds können schnell Schwellungen und Gewebeentzündungen rund um das Gelenk lindern. Der Nachteil dieser Art von Medikamenten ist die systemische Wirkung auf den Körper, bei dem viele unerwünschte Nebenwirkungen möglich sind. Sie werden nur in Kursen von einem Moment während einer Verschärfung des Prozesses vorgeschrieben.
- Externe Drogen, entwickelt, um Schmerzen zu lindern. In eine Salbe geworfen, Creme.
- Hyaluronsäure. Es ist eine neue Lösung bei der Behandlung von Gonarrose. Es ist eine intra -kartikuläre Einführung eines Mediums, das das Gelenk nährt. Es hat eine ziemlich hohe Effizienz. Die Methode ist jedoch durch Mängel gekennzeichnet, wie z.
Wichtig! Die Einführung von Drogen in die Gelenkspalte ist in 7-10 Tagen nicht mehr als 1 Mal zulässig.
Massage
Die Massage sowie die manuelle und osteopathische Behandlung zielen darauf ab:
- Schmerzeladinierung,
- Überwindung der Starrheit der Bewegungen auf den Knien,
- Verbesserung der Blutversorgung an der Knorpelstelle,
- Nährstoffe und Sauerstoff im Entzündungsbereich.
REFERENZ. Massage und ähnliche Verfahren müssen nur von einer Person durchgeführt werden, die eine Sonderausbildung hat. Andernfalls kann es den Zustand der Artikulation beschädigen und verschlimmern.
Chirurgische Intervention
Es ist ein extremes Maß bei der Behandlung von Arthrose, wenn die Krankheit extrem vernachlässigt wird und andere Therapiemethoden hilflos sind. Meistens wird endoprothisch verwendet, bei dem die betroffene Verbindung durch ein Implantat ersetzt wird.
Die Prothesen können zwei Arten ausmachen:
- Vollständig: Die gesamte Verbindung wird ersetzt,
- Teilweise: Nur der am besten abgenutzte Teil der Gelenkverbindung unterliegt einem Austausch.
Die Kontraindikationen für die Prothesen sind:
- chronische eitrige Infektionen;
- neuromuskuläre Störungen;
- Venas -Pathologien;
- Mehrere Herz -Kreislauf -Erkrankungen.
Eine weitere Option ist die Korrekturosteotomie. Bei dieser Methode wird eine Platte in die Verbindung eingeführt, wodurch der Druck im betroffenen Bereich des Knies verringert wird.
Trainingstherapie
Es handelt sich um eine regelmäßige und korrekte Umsetzung einer Reihe von physischen Übungen, die darauf abzielen, die Artikulation zu stärken und ihre Mobilität wiederherzustellen.
Dieses Verfahren kann zu Hause unabhängig durchgeführt werden, da es zuvor einen Spezialisten kontaktiert hat, um Ratschläge zu erhalten.
Verhütung
Das Befolgen einfacher Regeln vermeidet das Auftreten oder Verschlimmerung der Knorpelzerstörung. Dafür brauchen Sie:
- Folgen Sie der Diät. Dies wird zur Körpergewichtskontrolle beitragen und dem Körper alle notwendigen Vitamine und Mineralien vermitteln.
- Halten Sie sich an bestimmte Sportarten und verlassen Sie andere. Tatsache ist, dass bei Gonararrose übermäßige Belastungen auf den Knien äußerst unerwünscht sind. Aus diesem Grund ist das Laufen und Springen besser durch ein Fahrrad zu ersetzen, zu schwimmen oder zuzustimmen.
- Regelmäßig therapeutische Übungen durchführen.
- Verwenden Sie bequeme und orthopisch korrekte Schuhe. Es ist inakzeptabel, High Heels und Absätze zu tragen, eine flache Sohle, die Schuhe mit einer kleinen Ferse bevorzugt.
Die Arthrose des Kniegelenks ist eine ziemlich häufige Krankheit, die lange Zeit unbemerkt bleiben kann. Trotz des asymptomatischen Beginns kann Gonararrose zu schwerwiegenden Komplikationen und Behinderungen führen. Daher ist es sehr wichtig, die Diagnosen rechtzeitig zu stellen und die erforderliche Behandlung zu beginnen.
















































